
時間:2020-07-22 16:56:00 瀏覽:5722次
常規染色或HE(Haematoxylin and eosin)染色。它是病理技術中最常用的一種方法,通過它可以做出病理診斷和發現尋求別的輔助方法,以達到準確,完整的病理診斷。
一、病理染色
病理學的所有切片,都必須通過一種以上的染料,通過各種不同的方法,將切片中各種不同的物質,在不同染液的作用下,將其顯示出來,使之在光學顯微鏡下,能夠完全的觀看各種結構。例如,HE染色,好質量的切片可以清晰地顯示出許多不同的結構,細胞核著藍黑色,細胞漿著粉紅色,軟骨著藍色等。清晰的結構為診斷提供可靠的依據,因此,染色技術也是病理技術中的重要組成部分,必須不斷地總結,方能提高。如果染色不好,切片染色一團糟,紅藍不分,結構不清,層次不明,影響了鏡下的觀察,直接影響了臨床診斷,染色結果的好壞直接關系到診斷的準確性。
二、染色方法及步驟
1、脫水透明:
由低濃度到高濃度酒精作脫水劑,逐漸脫去組織塊中的水份。再將組織塊置于既溶于酒精,又溶于石蠟的透明劑二甲苯中透明,以二甲苯替換出組織塊的中酒精。
2、浸蠟包埋:
將已透明的組織塊置于已溶化的石蠟中,放入溶蠟箱保溫。待石蠟完全浸入組織塊后進行包埋:先制備好容器,倒入已溶化的石蠟,迅速夾取已浸透石蠟的組織塊放入其中。冷卻凝固成塊。
3、切片與貼片:
將包埋好的蠟塊固定于切片機上,切成薄片, 5—8微米厚。切下的薄片放到加熱的水中燙平,再貼到載玻片上,放45℃恒溫箱中烘干。
4、人工蘇木素,伊紅染色法(HE法)
(1)切片浸入二甲苯中5-10min;
(2)切片浸入二甲苯中5-10min;
(3)100%酒精1min。
(4)100%酒精1min。
(5)95%酒精1min。
(6)95%酒精1min。
(7)90%酒精1min。
(8)80%酒精1min。
(9)自來水洗1min。
(10)浸入蘇木素染液浸染10-15min。
(11)自來水洗30second-1min。
(12)1%鹽酸酒精分化30second。
(13)流水沖洗15min以上。
(14)1%伊紅酒精染3-5min。
(15)90%或95%酒精分化30sec。
(16)95%酒精30sec-1min。
(17)95%酒精30sec-1min。
(18)95%酒精30sec-1min。
(19)100%酒精1min。
(20)100%酒精1-2min。
(21)碳酸二甲苯1min。
(22)二甲苯1-2min。
(23)二甲苯1-2min
(24)二甲苯1-2min。
(25)中性樹膠封固。
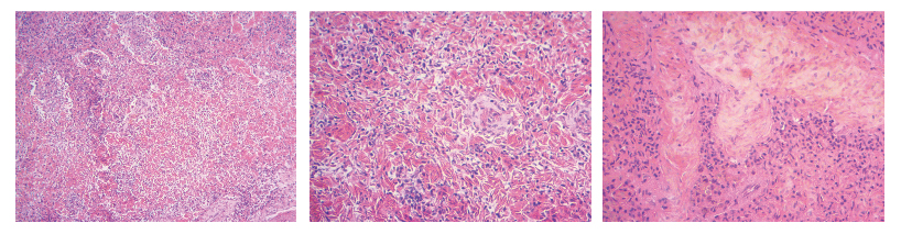
三、結果提供 細胞核被染成深藍黑色;細胞漿被染成粉紅色;軟骨及鈣鹽被染成藍色;膠原纖維染成淡粉紅色,嗜酸性細胞及嗜酸性顆粒呈鮮紅色;彈力纖維呈淡粉紅色;某些蛋白性物呈粉紅色等。
1、完整的實驗報告(包含試劑、耗材、操作步驟、病理結果);
2、原始病理照片,一般提供100倍、400倍照片各2張;
3、如果客戶提供的是組織,我們提供石蠟塊、染色片
四、樣本要求:
取材保持組織新鮮(組織塊以小于2cm*1.5cm*0.3cm為宜),立即放入固定液(固定液用10%福爾馬林液或4%多聚甲醛緩沖液,體積為組織塊的10倍以上)中,避免干燥,4°冰箱保存
結果展示
威斯騰生物服務流程
威斯騰生物服務項目
分子生物學檢測 | 蛋白質與免疫學 | 動物實驗 |
實時熒光定量PCR | 單克隆抗體制備 | 帕金森疾病模型 |
免疫共沉淀(Co-IP) | 多克隆抗體制備 | 抑郁癥動物模型 |
ELISA(酶聯免疫吸附法)技術 | Western-blot 實驗服務 | 脊髓損傷模型 |
生化指標檢測 | 蛋白雙向電泳實驗服務 | 腦外損傷模型 |
雙熒光素酶報告基因檢測 | 原核蛋白表達純化 | 骨神經損傷模型 |
染色質免疫共沉淀(ChIP) | 真核蛋白表達純化 | 心肌缺血模型 |
GST pull Down | ITRAQ定量蛋白質組學 | 心力衰竭模型 |
SLAC蛋白組學 | 肺動脈高血壓動物模型 | |
高血壓模型 | ||
病毒包裝純化 | 實驗課題整體外包 | 粥樣動脈硬化模型 |
過表達/干擾慢病毒包裝純化 | 整體課題外包 | 大腦中動脈阻塞模型 |
過表達/干擾腺病毒包裝純化 | 細胞整體實驗外包 | 慢性之氣管炎模型 |
逆轉錄病毒包裝純化 | 動物整體實驗外包 | 過敏性哮喘模型 |
腺相關病毒包裝純化 | 肺炎大鼠模型 | |
肝炎-肝硬化-肝癌模型 | ||
蛋白芯片 | 原代細胞培養 | 肝纖維化模型 |
細胞因子芯片 | 骨髓間充質干細胞培養 | 膽結石模型 |
生長因子芯片 | 脂肪干細胞培養 | 急性胰腺炎模型 |
信號通路磷酸化水平檢測芯片 | 心肌成纖維細胞培養 | 急性腎衰竭模型 |
BioPlex懸浮芯片 | 軟骨細胞培養 | 體內血栓模型 |
生長因子芯片 | 血管內皮細胞培養 | 關節炎模型 |
炎癥因子芯片 | 神經元細胞培養 | I型和II型糖尿病模型 |
血管生成因子芯片 | 內皮組細胞原代培養 | 裸鼠成瘤 |
凋亡因子芯片 | 基因編輯動物 | |
趨化因子芯片 | 電生理相關服務 | 動物整體實驗服務 |
HuProt TM 20K人類蛋白組芯片 | 膜片鉗實驗 | |
細胞生物學 | 高通量測序 | 代謝組學 |
細胞原代培養 | mRNA測序 | 氣相色譜GC/MS |
MTT檢測 | LncRNA測序 | 液相色譜LC/MS |
細胞凋亡檢測 | 全基因組測序 | 核磁共震NMR |
細胞周期檢測 | RNA-Seq測序 | |
細胞克隆形成實驗 | 外顯子測序 | 影像學相關實驗 |
Transwell細胞遷移/侵襲 | 16s擴增子測序 | Micro-CT |
流式分選 | Small RNA測序 | 小動物活體成像 |
CCK8/XTT檢測 | 宏基因組測序 | 核磁共振 |
臺盼藍檢測細胞活性 | 單細胞測序 | PET-CT |
藥物篩選細胞學實驗 | circleRNA測序 | |
細胞粘附性檢測 | 甲基化測序 | 基因編輯動物 |
細胞劃痕實驗 | 條件性敲除小鼠/大鼠 | |
細胞生物學整體實驗 | 全基因敲除小鼠/大鼠 | |
細胞成管實驗 | ||
病理學檢測 | CRISPR/Cas9細胞敲除/敲入 | 基因芯片 |
掃描電鏡 | 基因定點突變細胞系 | LncRNA芯片 |
透射電鏡 | 單基因敲除細胞系 | miRNA芯片 |
HE染色 | 多基因敲除細胞系 | mRNA芯片 |
免疫組化 | 目的基因敲入細胞系 | 甲基化芯片(限人和小鼠來源樣本) |
Tunel(原位末端凋亡法)檢測 | 報告基因敲入細胞系 | SNP芯片(限人和小鼠來源樣本) |
激光共聚焦 | miRNA/LncRNA敲除細胞系 | |
免疫熒光 | ||
Masson染色 | CRISPR/Cas9動物敲除/敲入 | |
原位雜交 | 基因敲除大鼠/小鼠 | |
熒光原位雜交 | 基因敲入大鼠/小鼠 |
|
特殊染色(PSA、茜素紅、阿爾新藍等) |
|
|
行為學檢測 | 藥物篩選服務項目 | 藥效學評價 |
水迷宮實驗 | 高通量自動藥物篩選平臺 | 神經系統藥物藥效學評價 |
曠場實驗 | 細胞高內涵藥物篩選平臺 | 抗腫瘤藥物藥效學評價 |
重復性刻板行為檢測 | 蛋白質組學靶標研發平臺 | 心血管系統藥物藥效學評價 |
動物跑臺檢測 | 分子藥理研究平臺 | 泌尿系統藥物藥效學評價 |
強迫游泳 | 生物膜片鉗藥物篩選平臺 | 內分泌系統藥物藥效學評價 |
常規藥物體外篩選 | 抗炎免疫藥物藥效學評價 |
【本平臺合作項目】
分子生物學、細胞生物學、病理染色檢測、細胞敲除&敲入、模式與轉基因動物、SPF動物保種、免疫學檢測、影像學檢測、原代培養、細胞藥篩、CRISPR/Cas9基因編輯、基因芯片、高通量測序、蛋白組學、代謝組學、高通量高內涵篩選、藥效學評價、藥理毒理學實驗、慢病毒包裝與穩轉株建立、SiRNA與納米載藥、ChIP、CO-IP、生物信息學分析、知識產權服務!
【全國免費熱線】400-675-6758
【電話】023-65316016,023-65316556
【郵箱】china-western@163.com
【官網網址】www.hbasx.com
【地址】重慶市高新區二郎創業大道高科創業園D棟2樓
科研服務高品質供應商
全國免費熱線:400-675-6758
公司總部:重慶高新區生物醫藥研發產業園
電 話:023-65316016/65316556
網 址:www.hbasx.com
渝備案號:渝ICP備16009673號